Overview
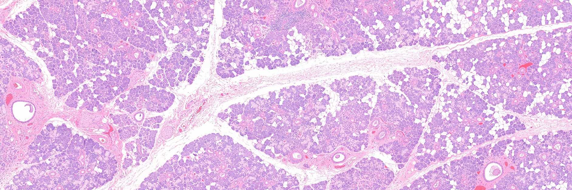
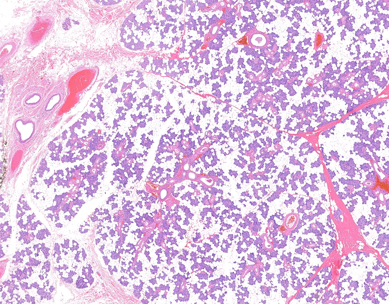
- The major salivary glands are paired organs and include the parotid, submandibular, and sublingual glands.
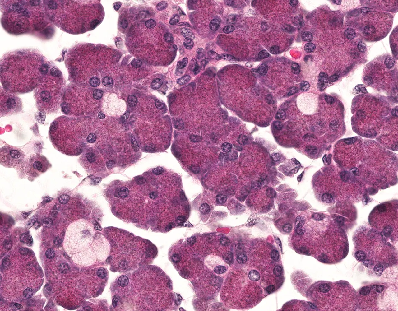
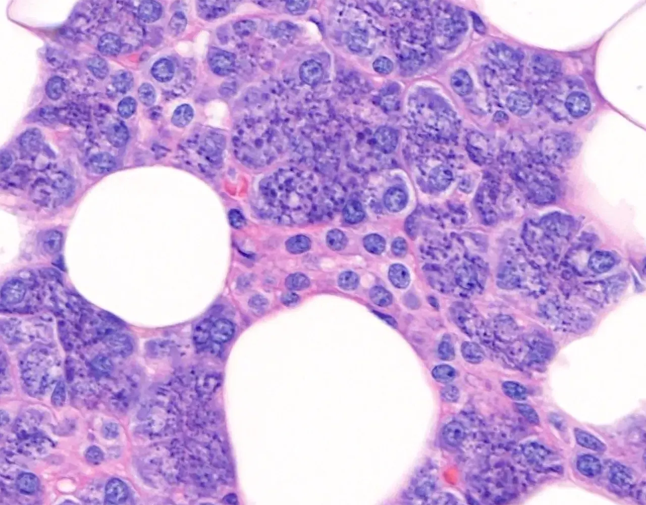
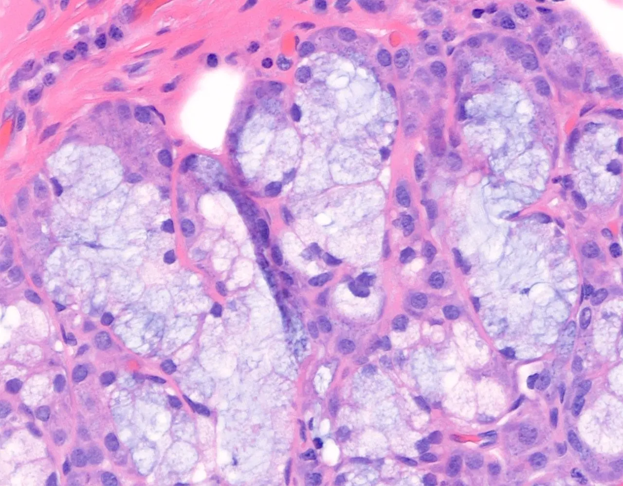
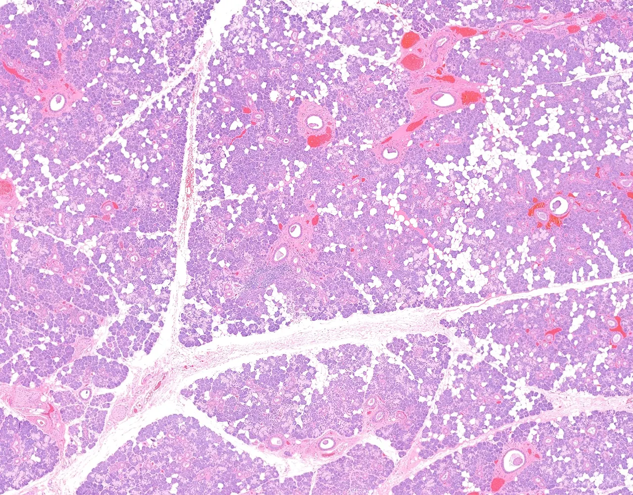
- They are compound tubuloacinar exocrine glands.
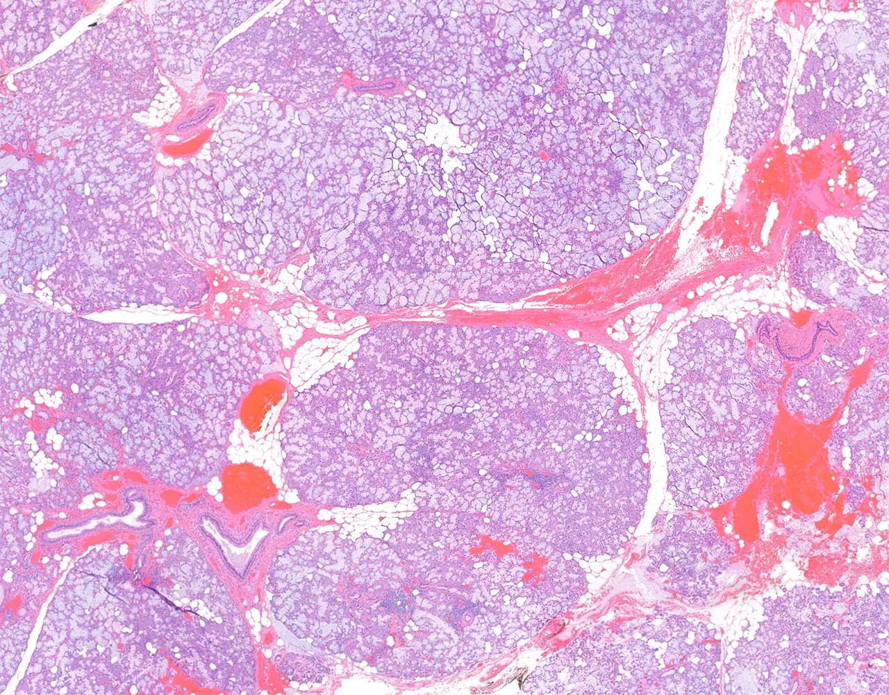
- Each gland is surrounded by a thin capsule.
- The capsule extends septa into the glandular parenchyma, dividing it into lobes and lobules.
- Functions :
- Produce and secrete saliva into the oral cavity.
- Maintain hydration and protect the oral mucosa and teeth.
- Lubricate the oral cavity during speech, mastication, and swallowing.
- Begin carbohydrate digestion through salivary amylase.
- Contribute to oral immune defense through antimicrobial components, including secretory IgA.
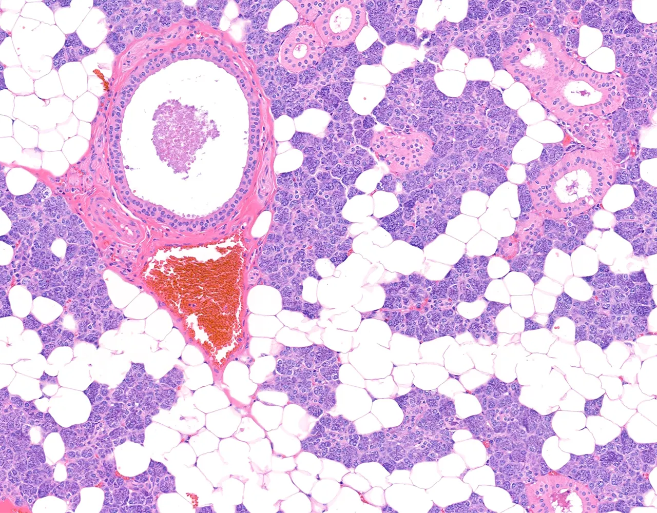
- Parotid Gland :
- The parotid glands are the largest majors alivary glands, located in the parotid region, anterior and inferior to the ear.
- The main parotid duct is the Stensen duct, it opens into the oral cavity opposite the uppersecond molar.
- May contain intraparenchymal lymph nodes.
- Submandibular Gland :
- The submandibular glands are also called submaxillary glands, located beneath the mandible, in the submandibular region, with a deep portion extending toward the floor of themouth.
- The main submandibular duct is the Wharton duct, it opens at the sublingual caruncle, just lateral to the lingual frenulum.
- Sublingual Gland :
- The sublingual glands are the smallest major salivary glands, located in the anterior floor of the mouth, beneath the oral mucosa.
- The main sublingual duct is the Bartholin duct, it usually drains into the submandibular duct near its terminal portion.
- Numerous small ducts of Rivinus drain directly into the floor of the mouth along the plica sublingualis.
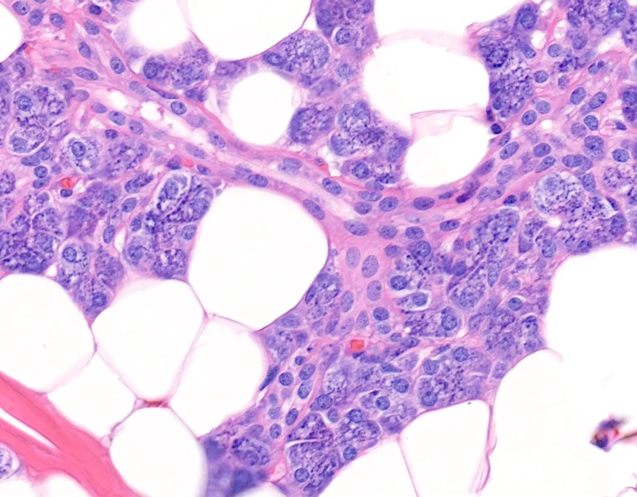
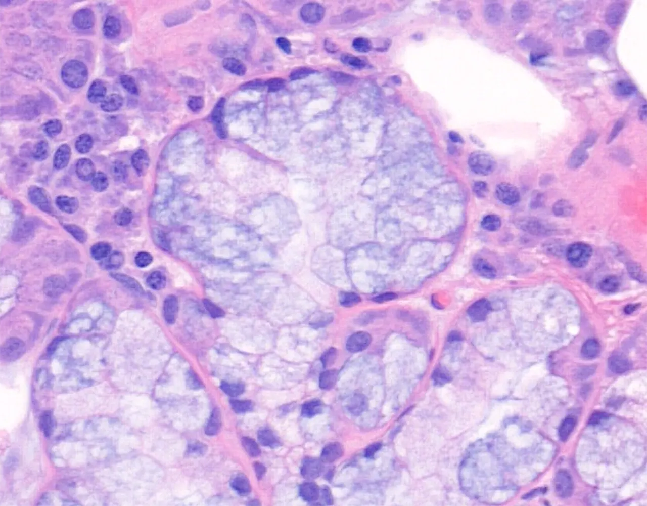
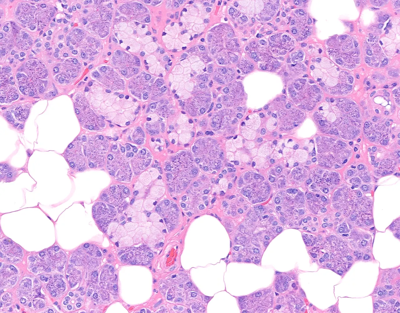
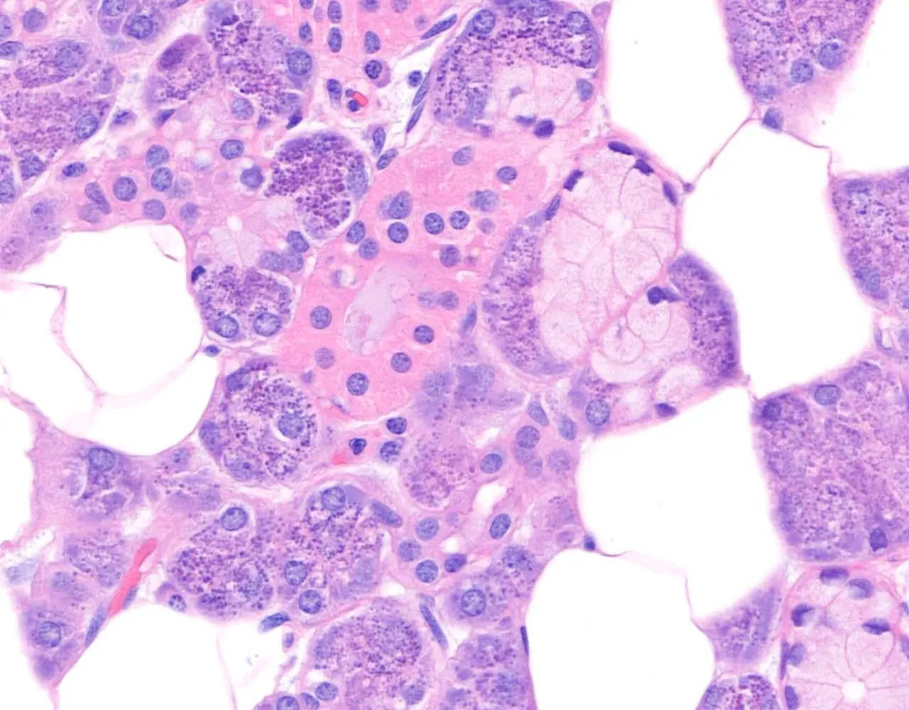
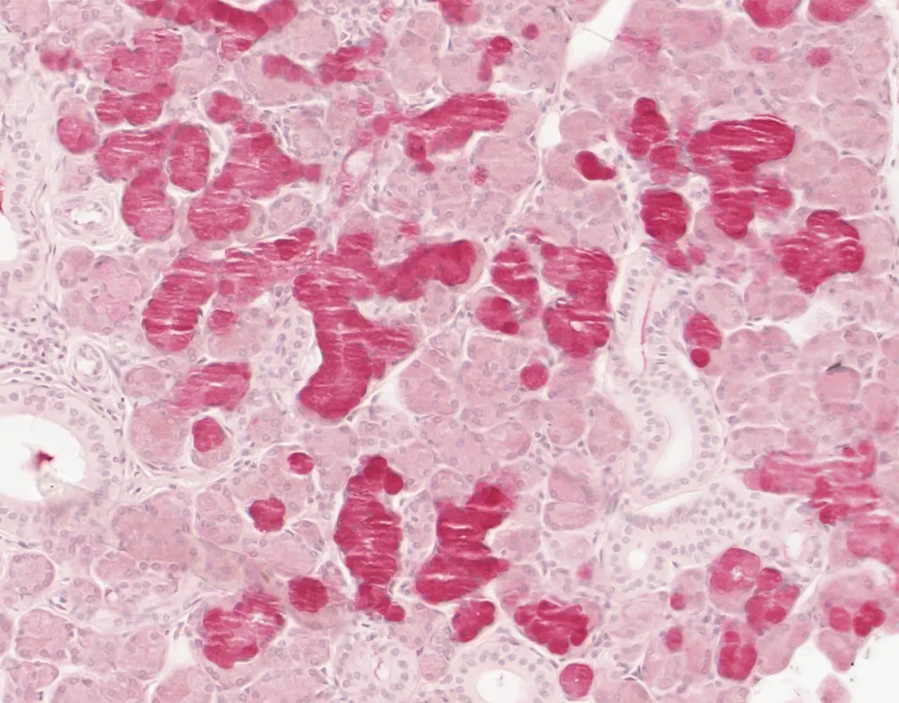
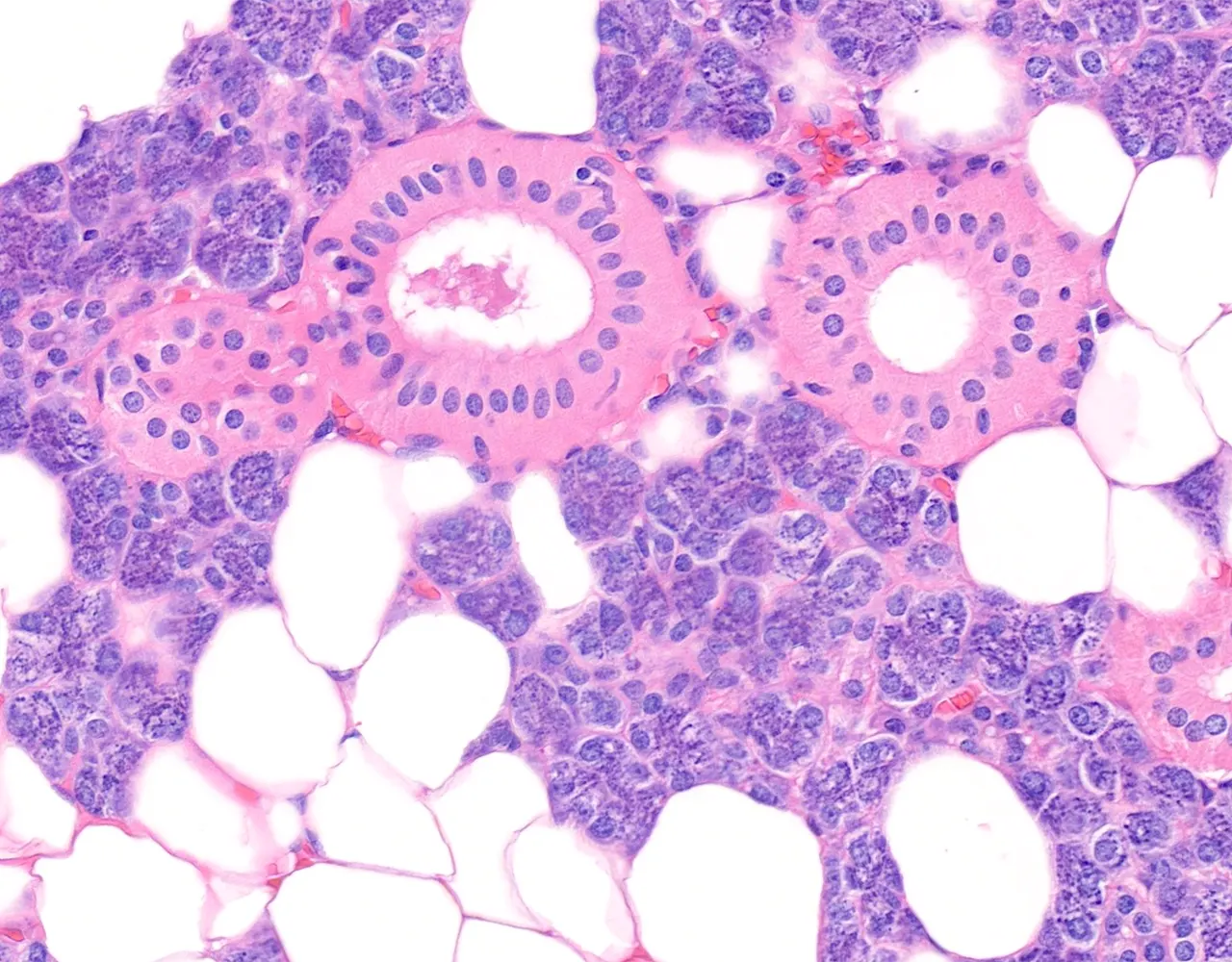
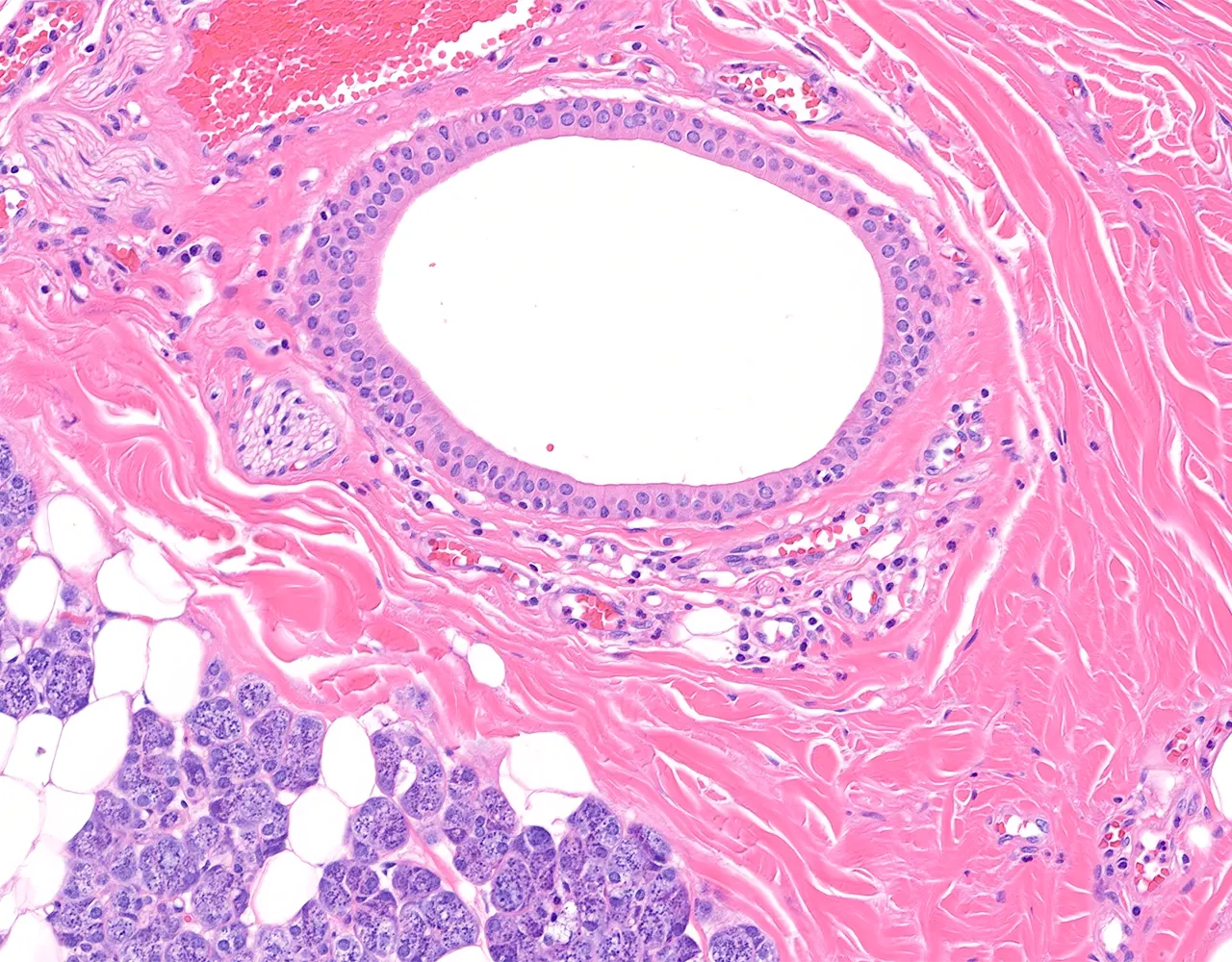
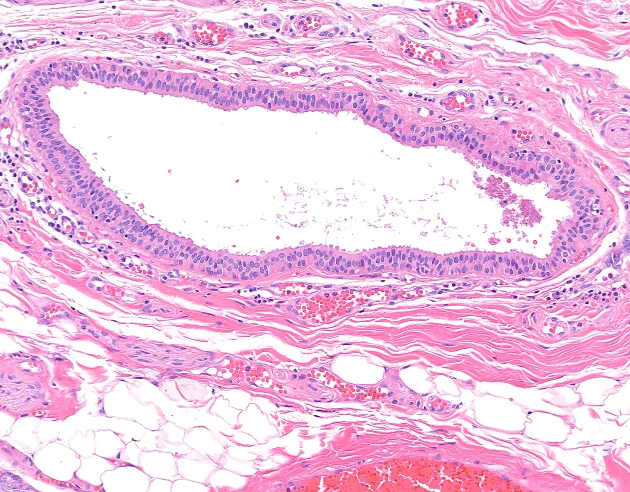
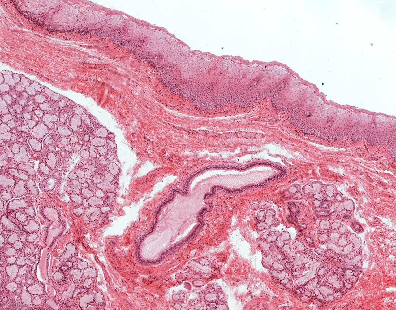
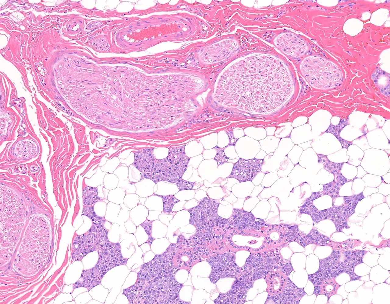
- Microscopically, the functional structure of a salivary gland consists of secretory acini and a duct system.





.webp)





-p-130x130q80.png)
















