Overview
- Muscular tube approximately 25 cm in length, extends from the hypopharynx to the stomach.
- Begins at level of cricoid cartilage, extends down within posterior mediastinum and through diaphragm, and connects to stomach at the gastroesophageal junction (GEJ).
- Composed anatomically of 3 segments: Cervical, Thoracic and Abdominal.
- It describes several constriction areas represented at the level of cricoid cartilage, aortic arch, left main bronchusand the left atrium.
- Function :
- Propulsion of food bolus form the oral cavity to the stomach.
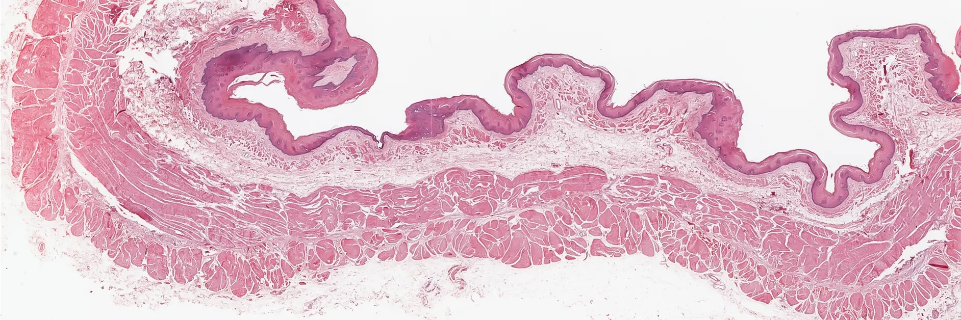
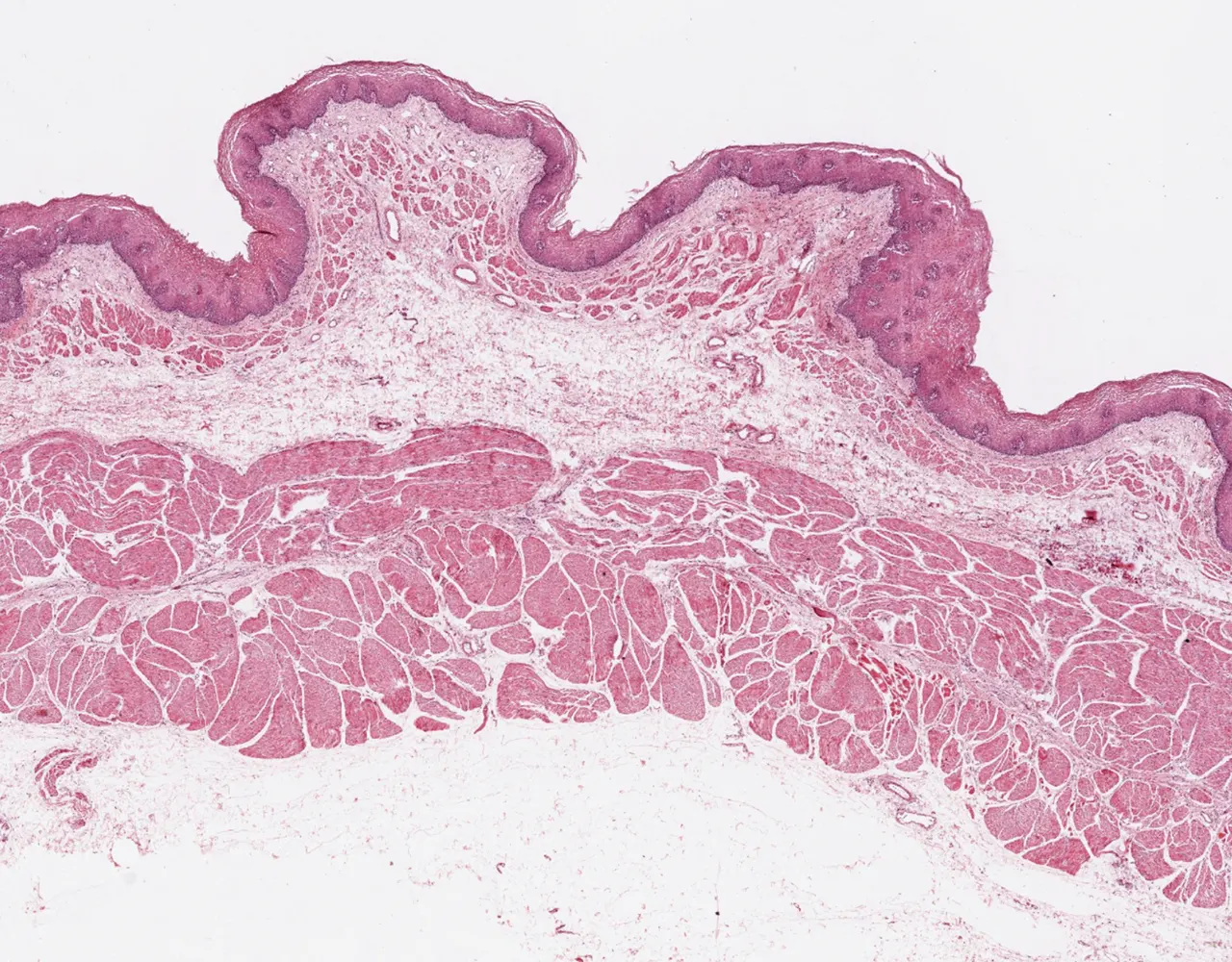
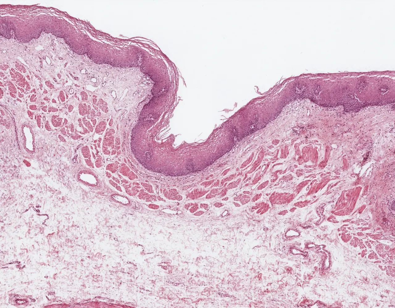
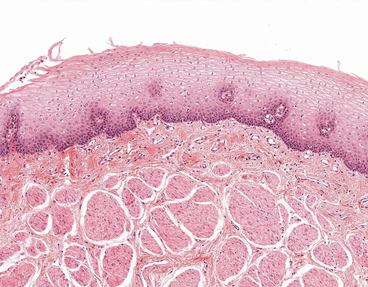
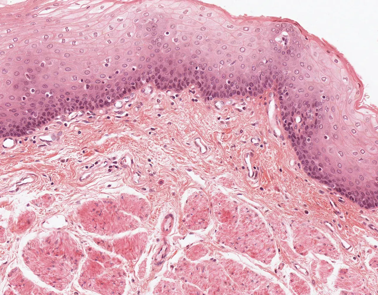
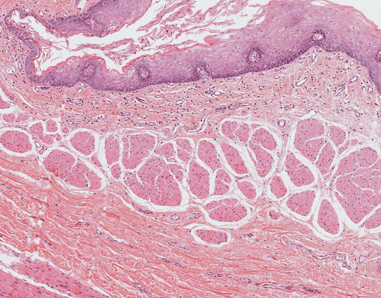
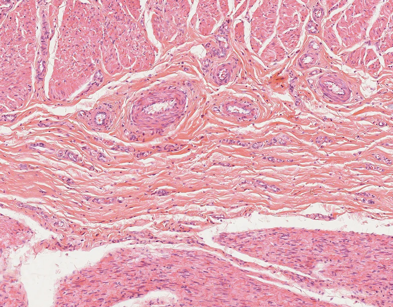
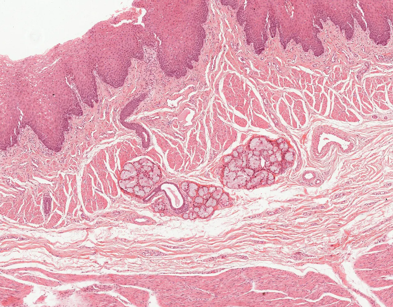
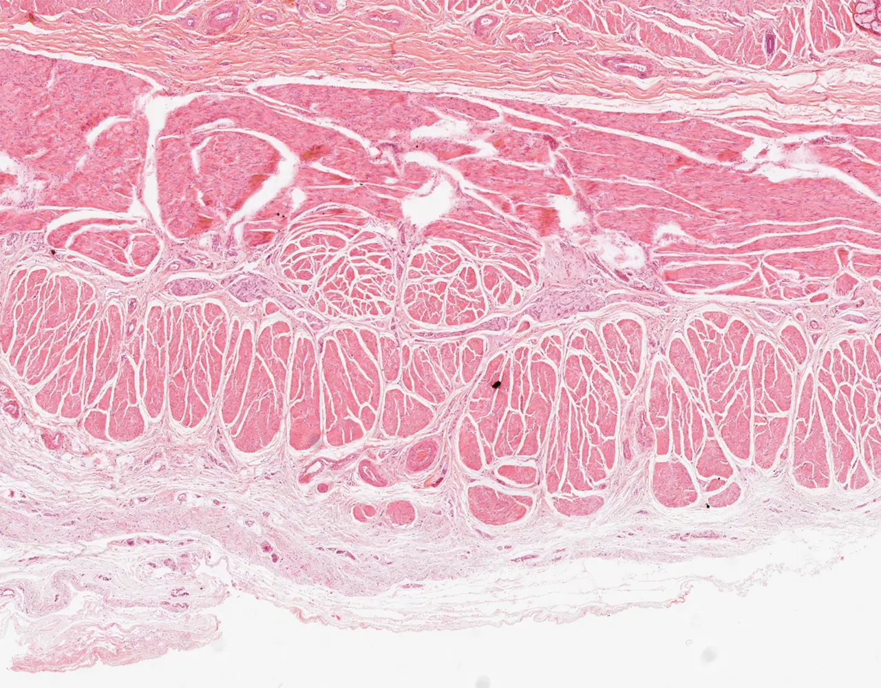
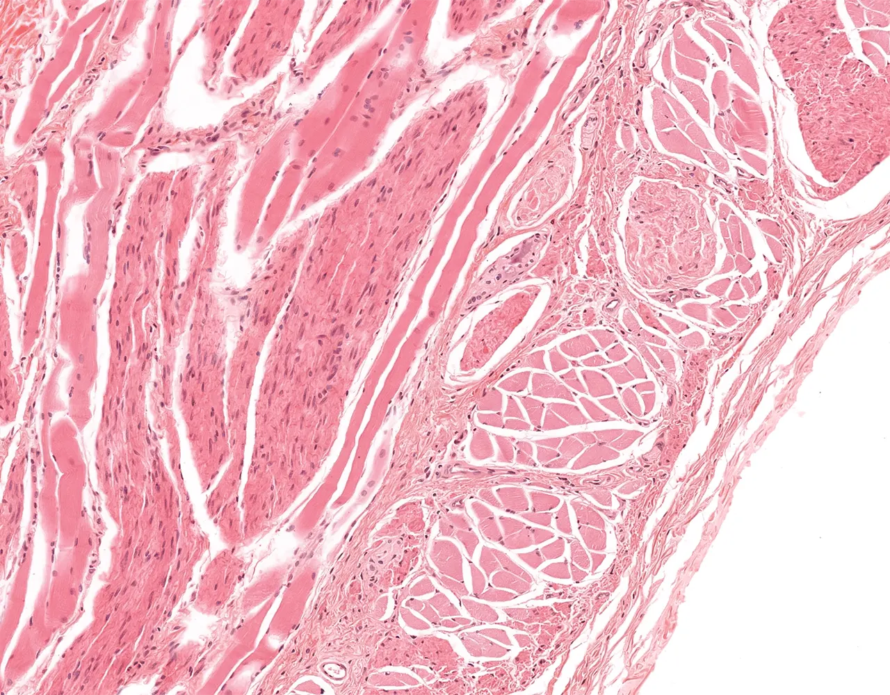
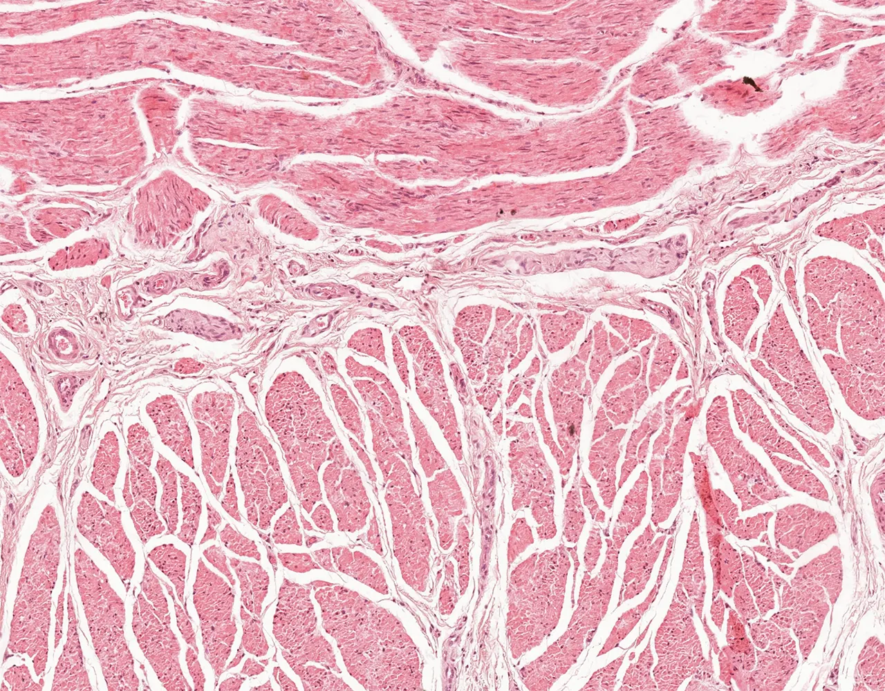
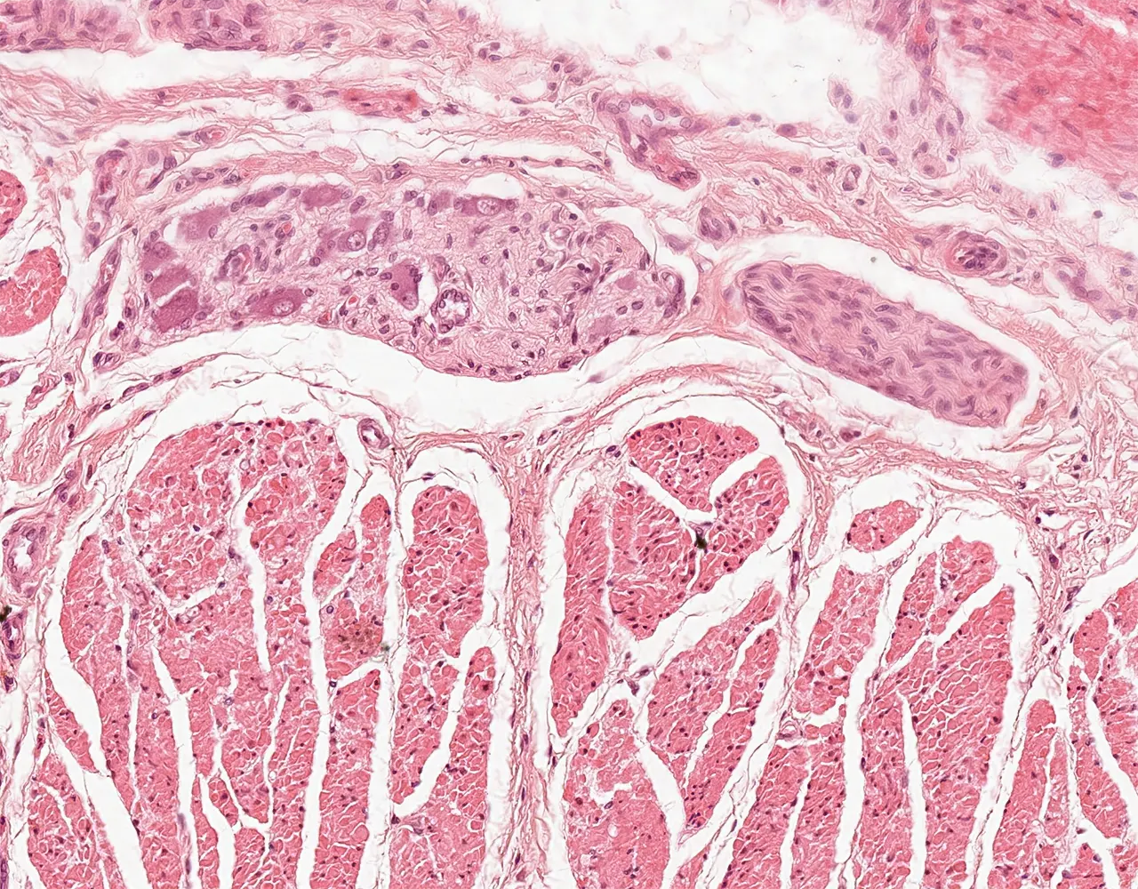
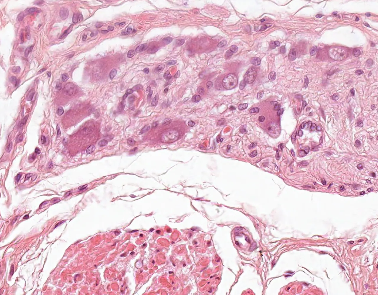
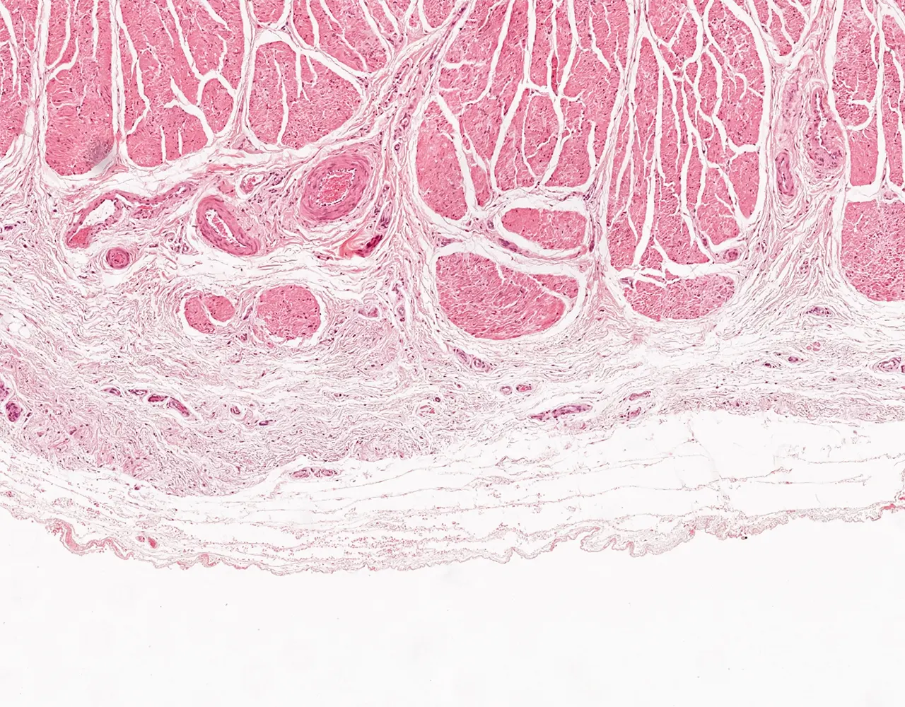
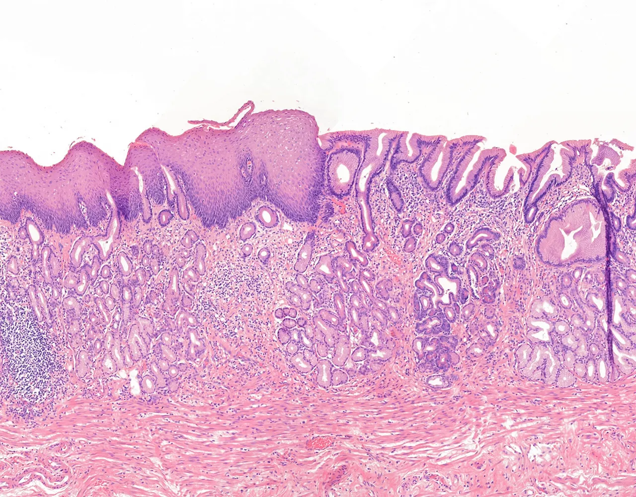
- Microscopically, the esophagus is composed of four layers: mucosa, submucosa, muscularis propria, and adventitia.












-p-130x130q80.png)








.webp)




