Overview
- A J-shaped organ located at the central left upper abdomen.
- The lumen can accommodate up to 1.5L in normal adults.
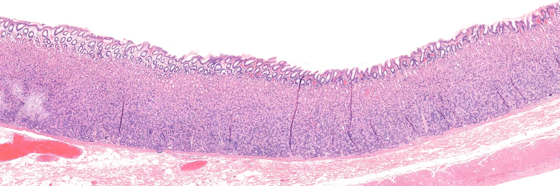
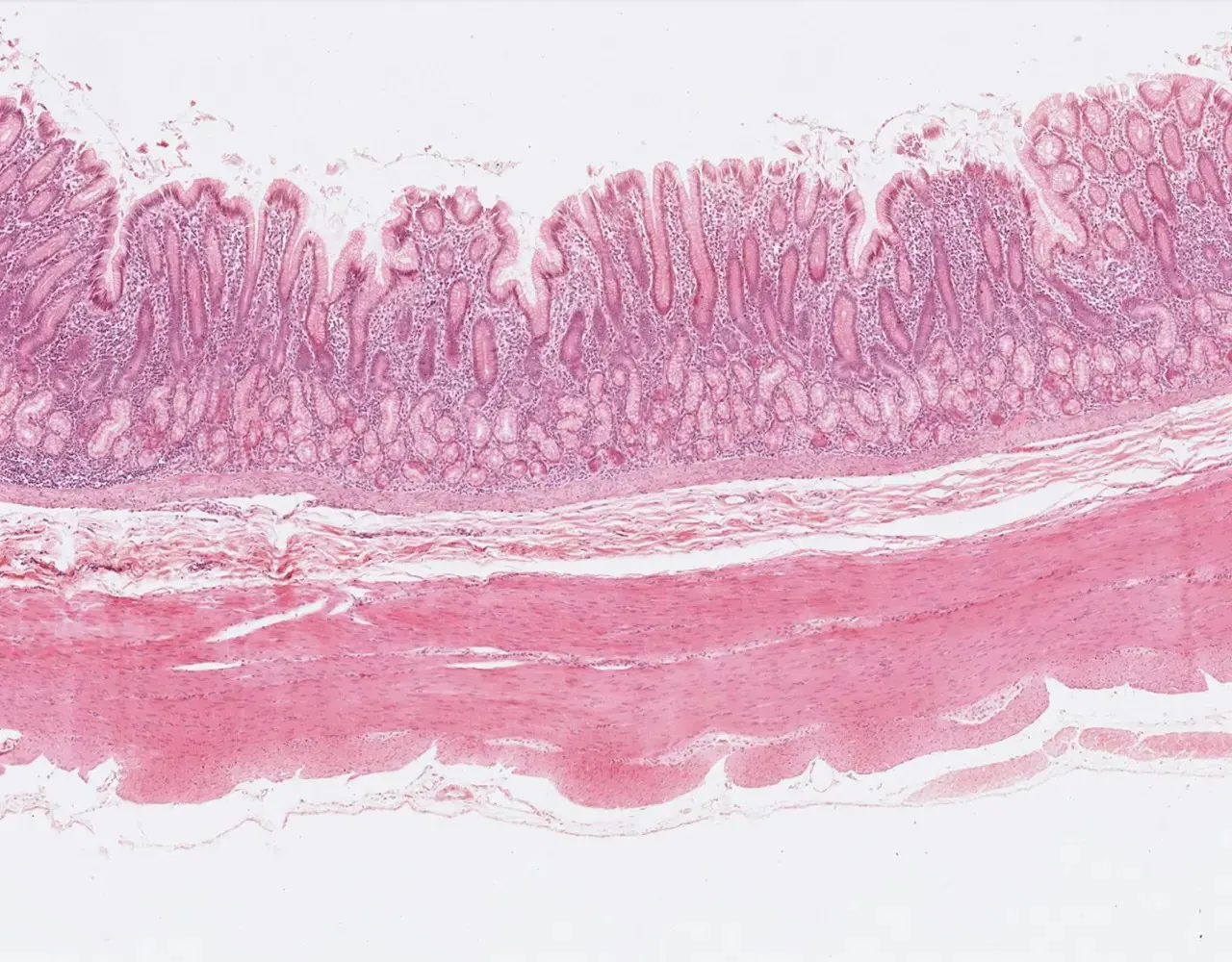
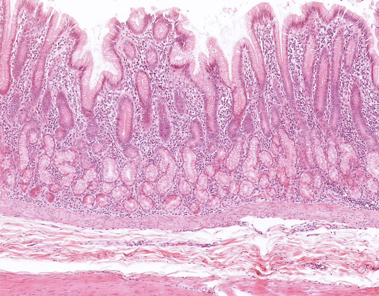
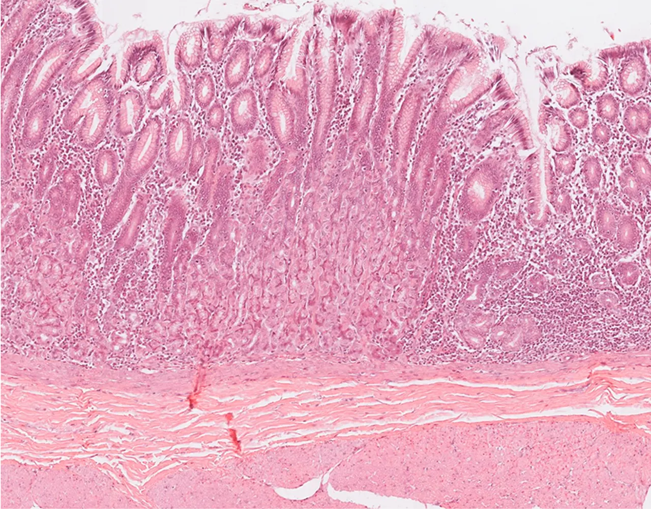
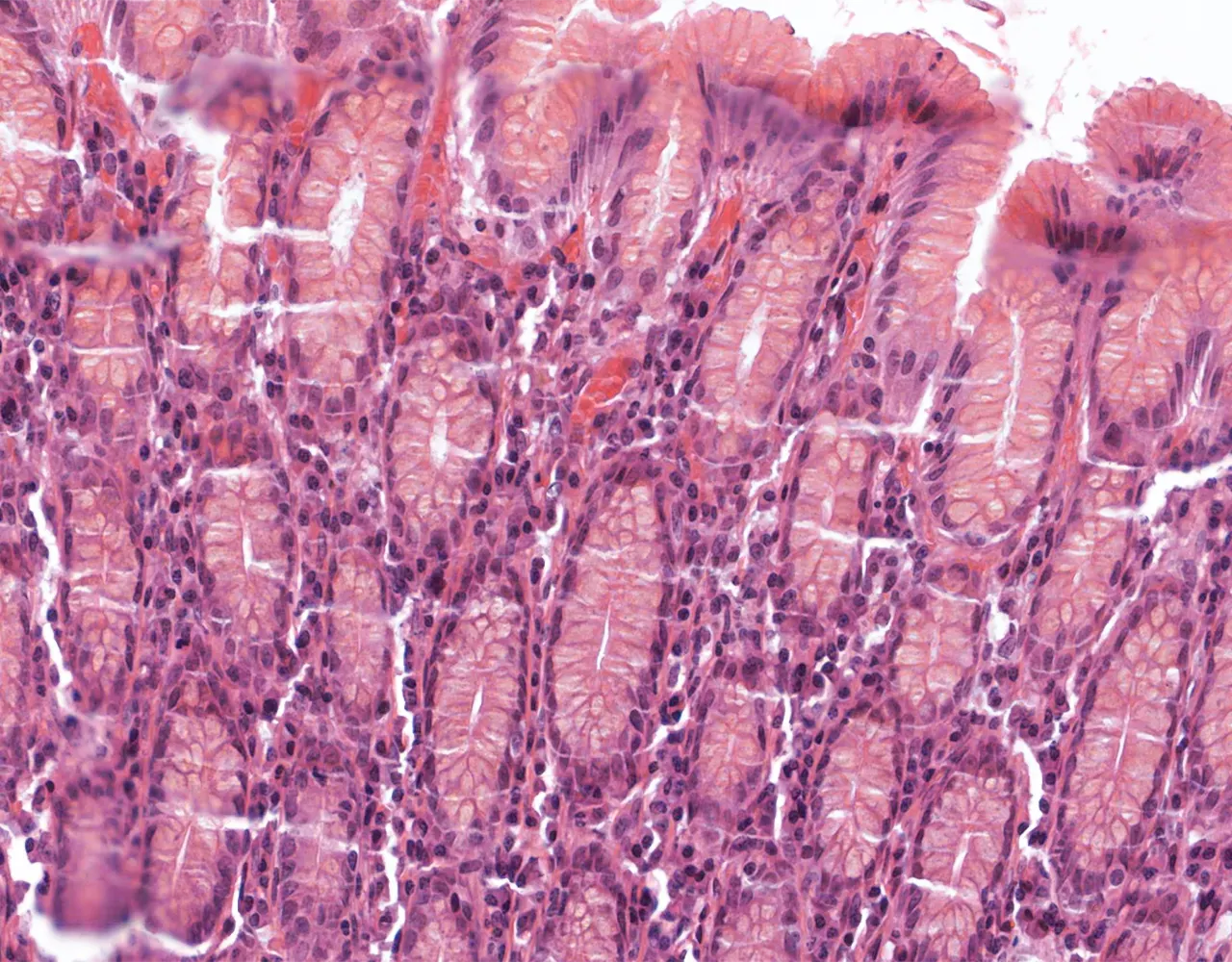
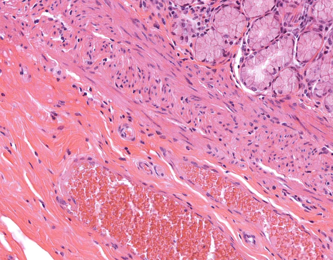
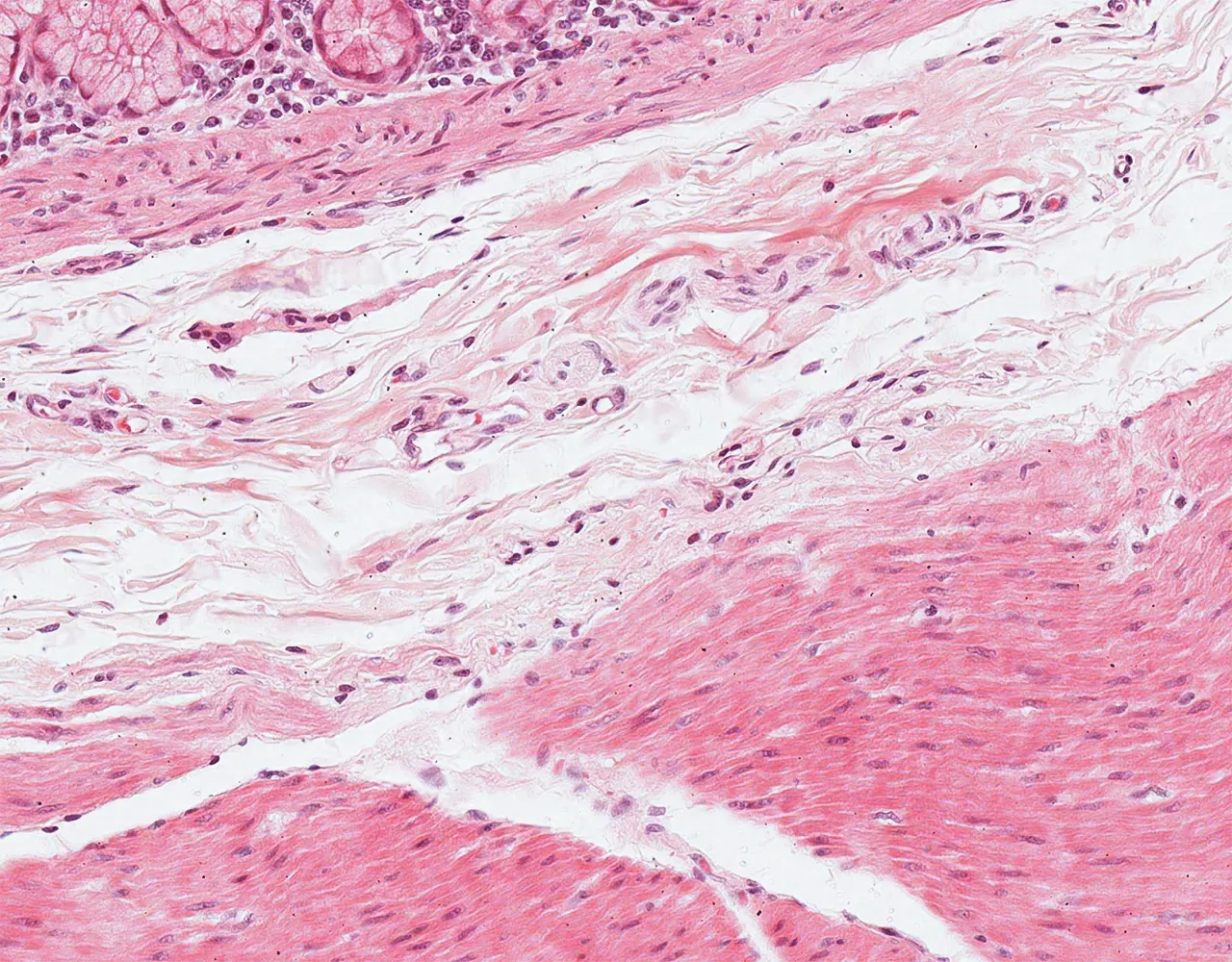
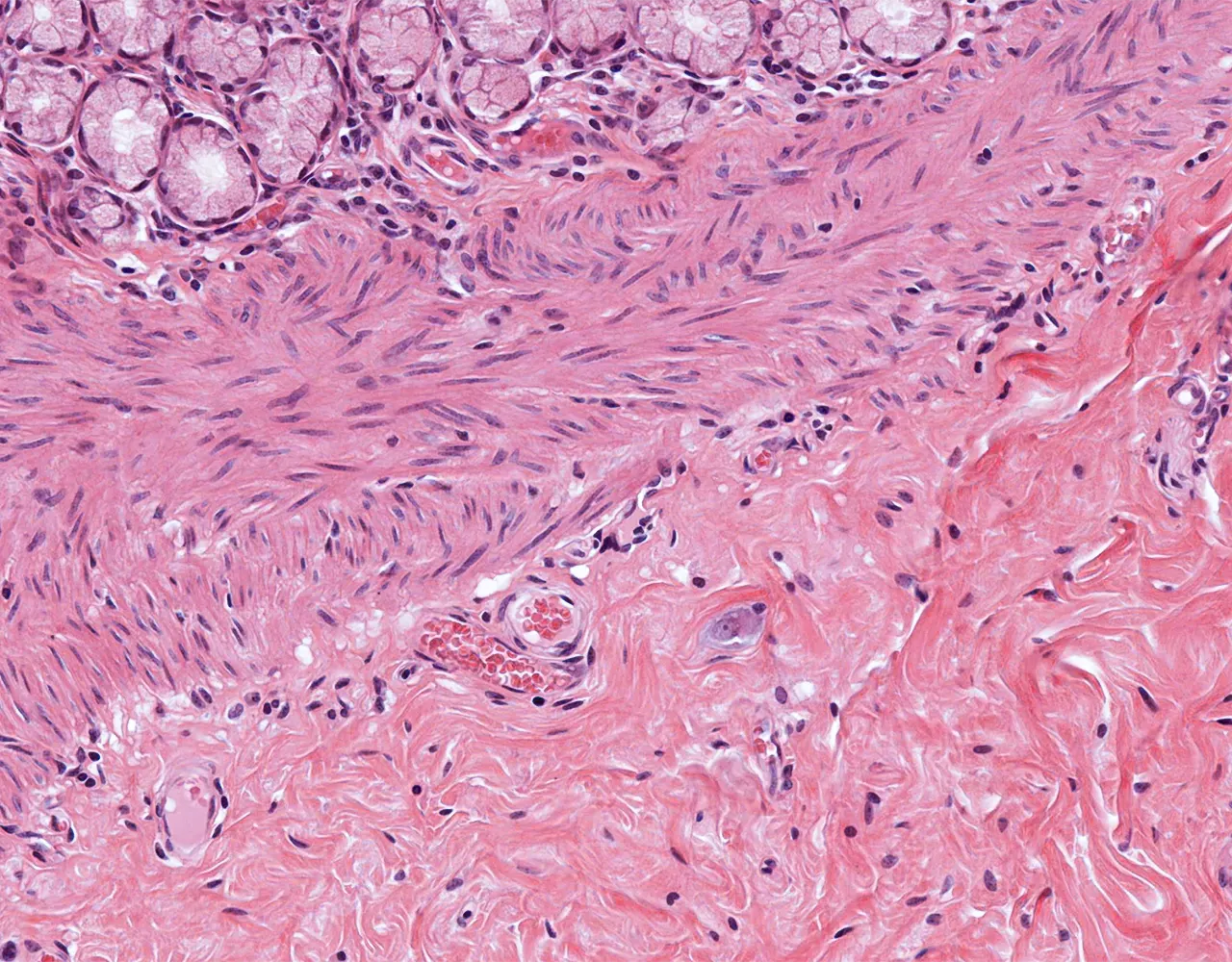
- Characterized by rugae : prominent folds of the mucosa and submucosa, mainly visible in the empty stomach.
- Function:
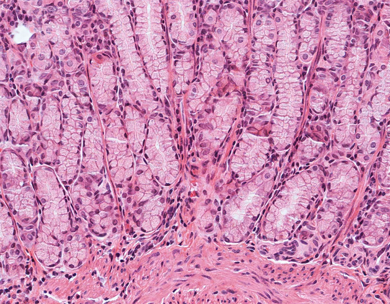
- Digestion by chemical action (secretion of HCl), enzymatic action (pepsin), and mechanical action.
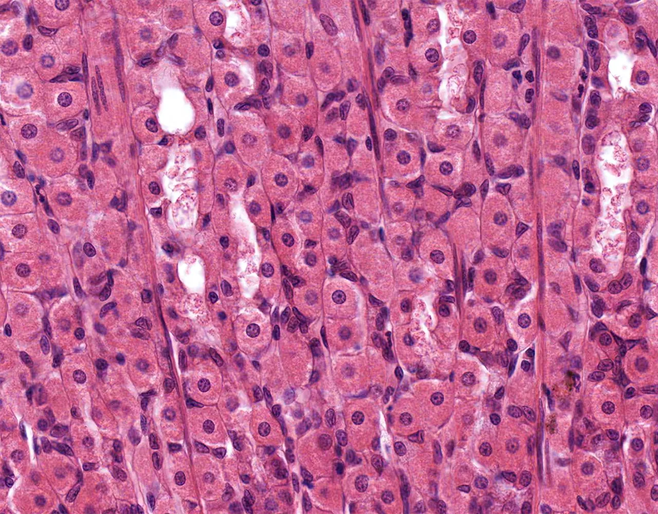
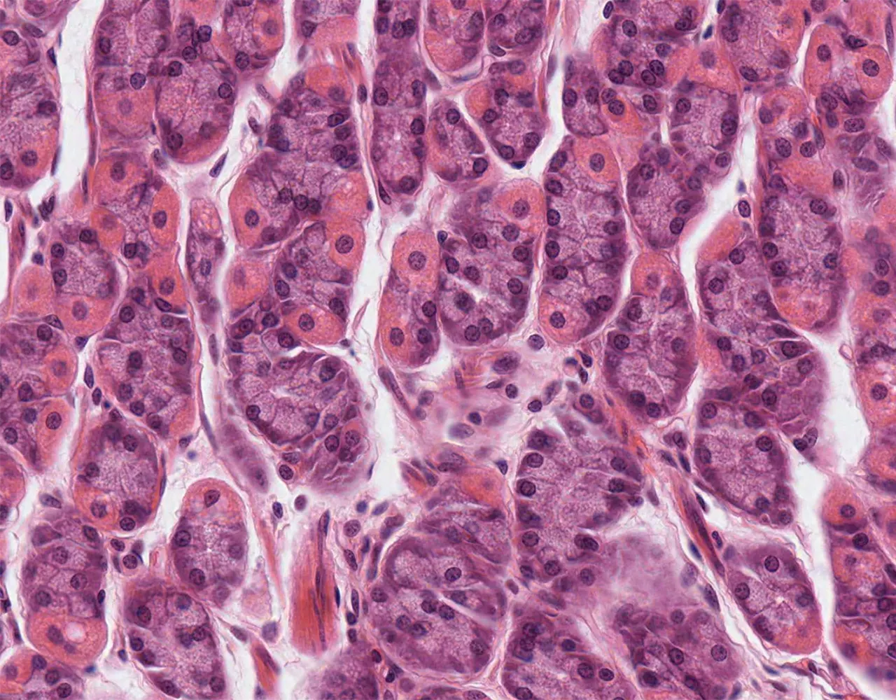
- Composed of multiple segments:
- Cardia: A short segment (1-2cm), representing the uppermost portion where esophagus joins the stomach.
- Fundus: is the superior portion of the stomach.
- Body: Extends distally from cardia to angularis (bend in lesser curvature near pylorus).
- Antrum: Distal to angularis, terminates in the pylorus.
- Pylorus : is a short segment that overlies the pyloric sphincter, between the stomach and the duodenum.
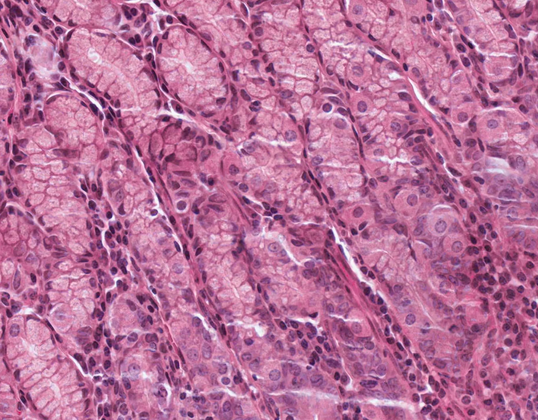
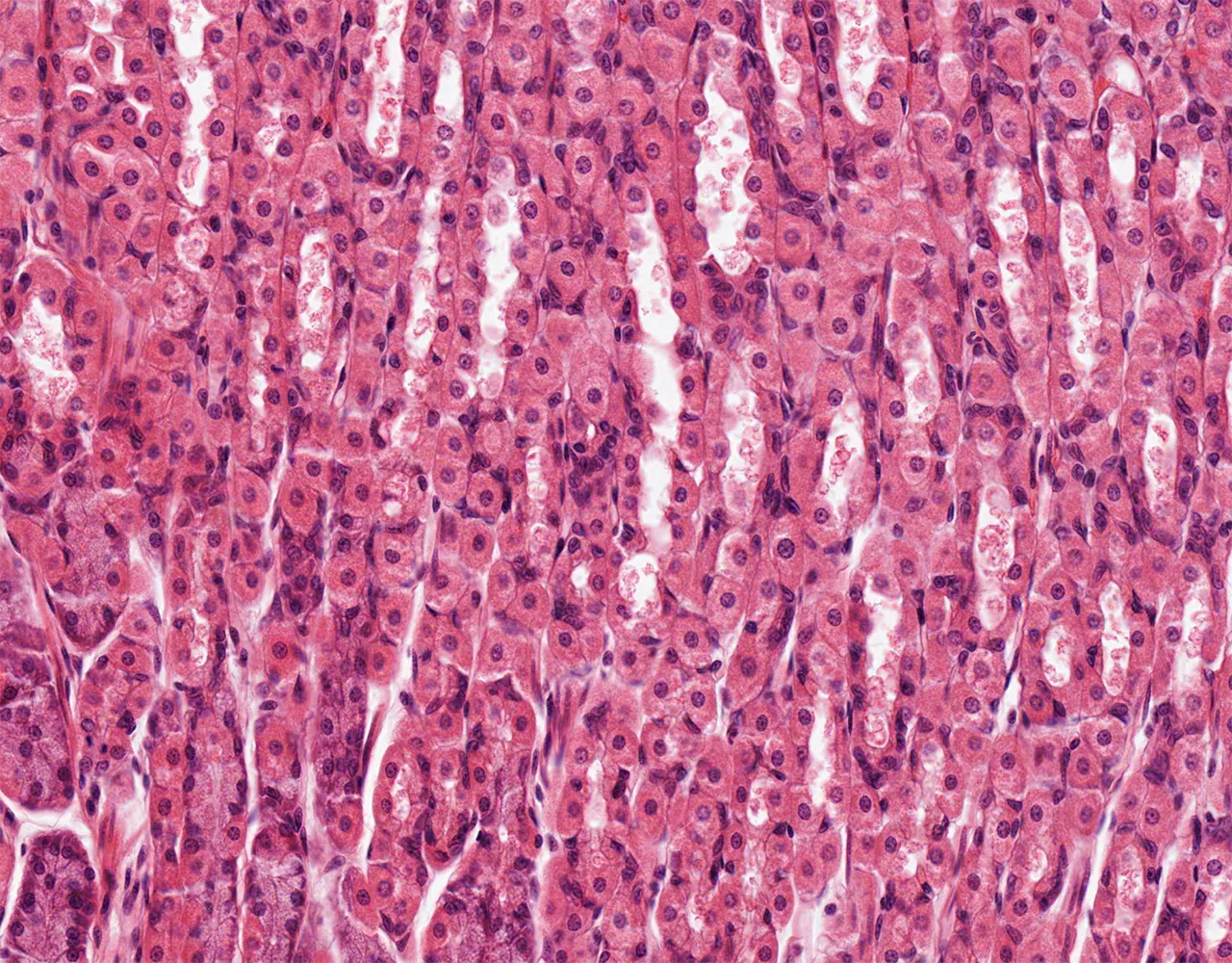
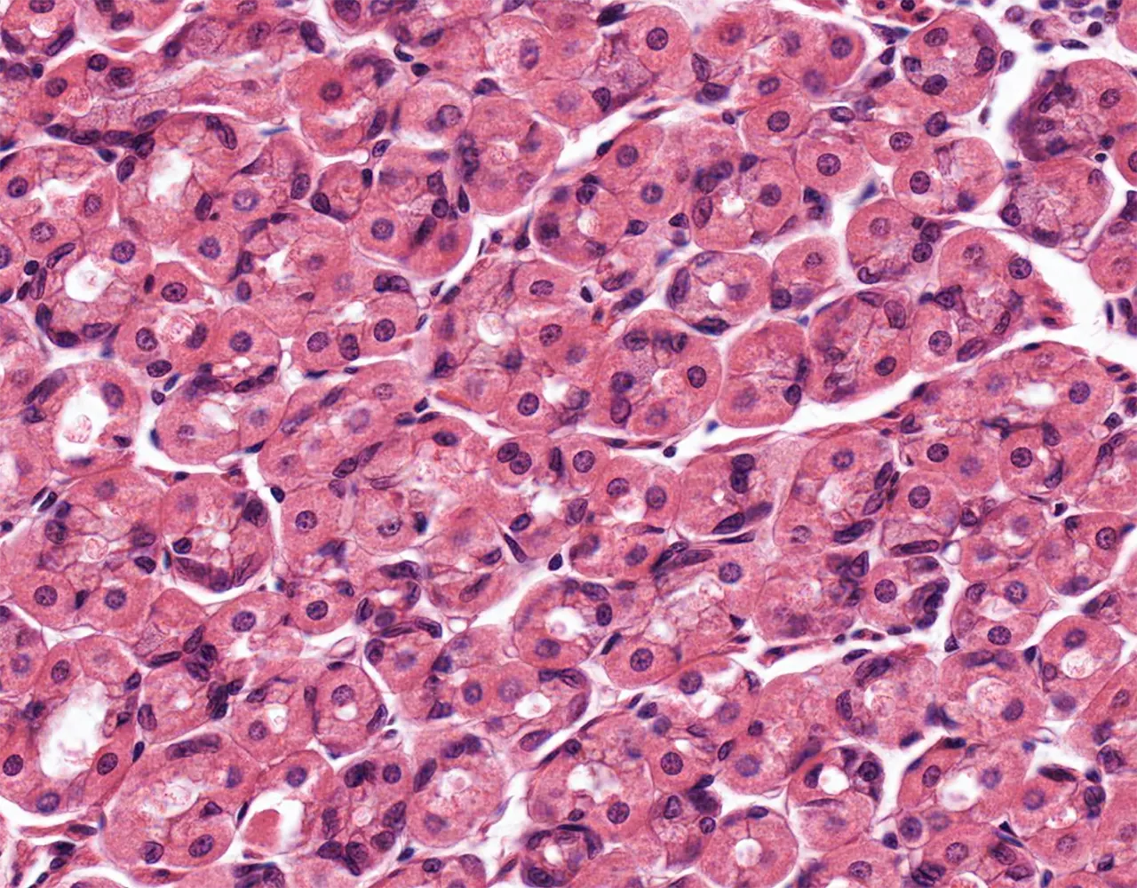
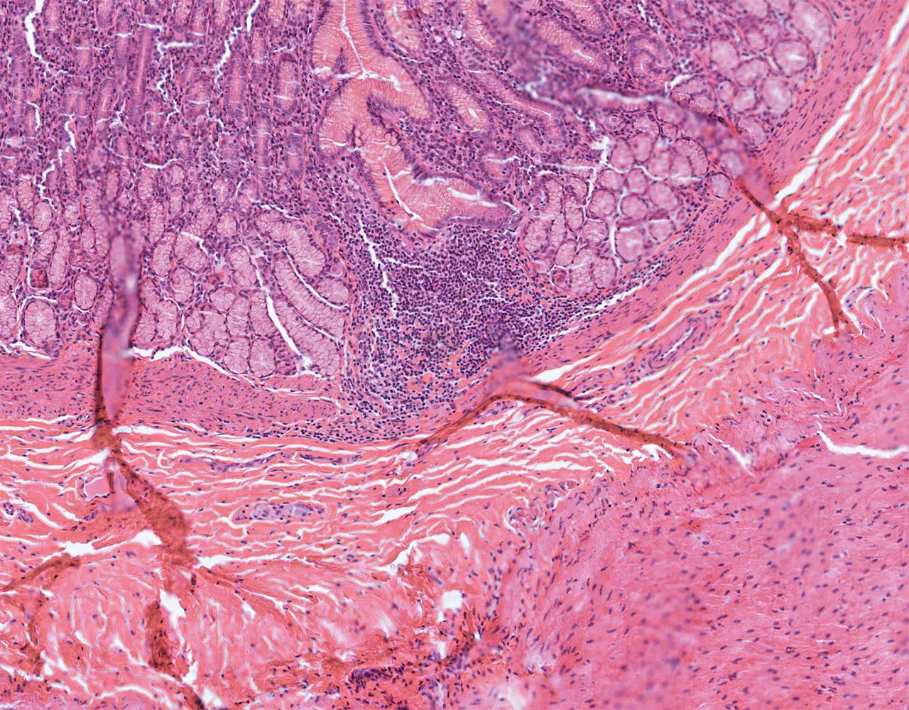
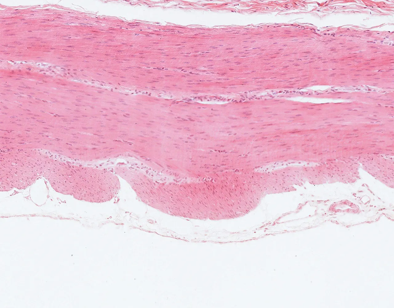
- The wall of the stomach is composed of four layers, from the innermost to the outermost: mucosa, submucosa, muscularis propria, and serosa.












-p-130x130q80.png)














.webp)



.webp)
