Généralités
- Organe en forme de "J", situé dans la partie supérieure gauche de l’abdomen.
- Sa lumière peut contenir jusqu’à 1,5 L chez l’adulte normal.
- Caractérisé par des plis gastriques : replis proéminents de la muqueuse et la sous-muqueuse, principalement visibles lorsque l’estomac est vide.
- Fonction :
- Digestion chimique (sécrétion d’acide chlorhydrique, HCl), enzymatique (pepsine) et mécanique.
- Composé de plusieurs segments :
- Cardia : court segment (1 à 2 cm) correspondant à la portion supérieure où l’œsophage s’abouche à l’estomac.
- Fundus : partie supérieure de l'estomac.
- Corps : s’étend distalement du cardia jusqu’à l’incisure angulaire.
- Antre : situé en aval de l’incisure angulaire, se termine au pylore.
- Pylore : court segment correspondant à la région du sphincter pylorique, entre l’estomac et le duodénum.
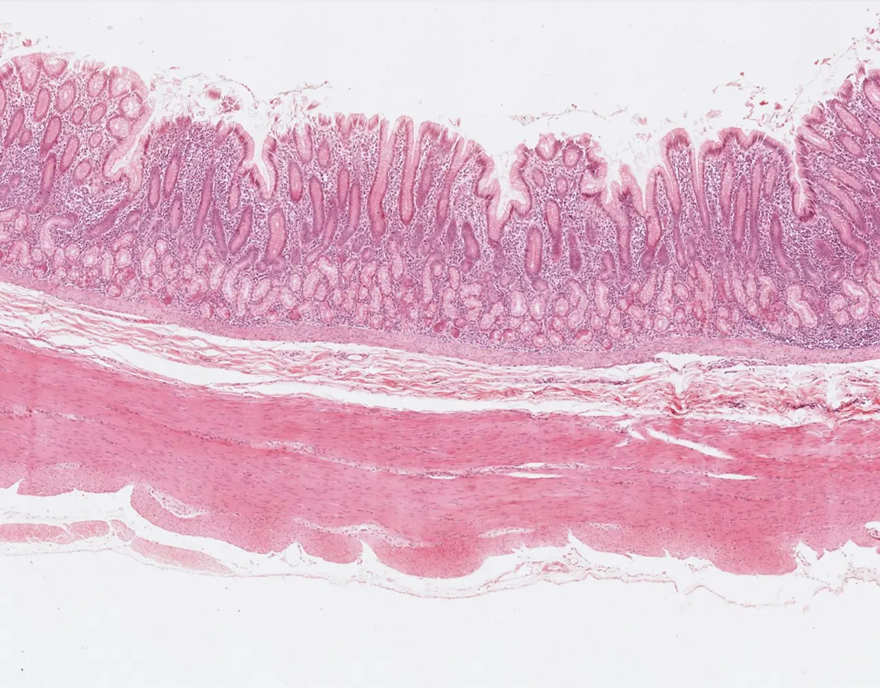
- La paroi de l'estomac est composée de 4 couches, de l'intérieur vers l'extérieur : la muqueuse, la sous-muqueuse, la musculeuse propre et la séreuse.












-p-130x130q80.png)














.webp)



.webp)
